Open MRI
SIEMENS - With its single pillar design the APERTO Lucent uses open space ergonomics to offer extraordinary comfort to the patient while also making examinations completely effortless.
SIEMENS - With its single pillar design the APERTO Lucent uses open space ergonomics to offer extraordinary comfort to the patient while also making examinations completely effortless.
3D T1W GE sequence with spectral fat saturation CHESS enables detailed cartilage visualization.
Fat Water Separation technique provides images with fat signal separated in SE, GE and FSE sequences..
TOF angiography with VR (Volume Rendering) option provides clear and detailed image of intra-cranial arteries.
Sagittal T2 FSE with RADAR technology enables motion- and flow-free imaging..
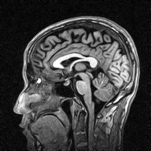
3D GE IR option enables volumetric scanning with high resolution and excellent white-grey matter contrast.