Neurology
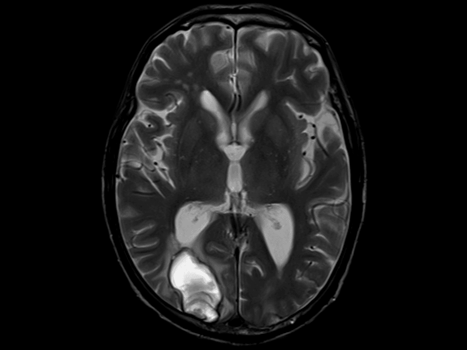
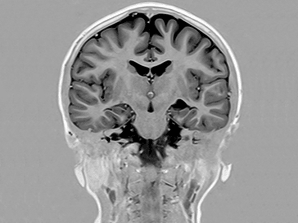
Excellent performance and pristine image quality for standard and adv. applications like functional imaging(BOLD),prefusion or diffusion tensor imaging and tractography.
Excellent performance and pristine image quality for standard and adv. applications like functional imaging(BOLD),prefusion or diffusion tensor imaging and tractography.
Examine ligament tears to cartilage degeneration with high-resolution imaging and a wide range of dedicated coils.
Easy patient setup and state-of-the-art imaging performance for C-Spine, T-Spine, L-Spine, and Whole Spine.
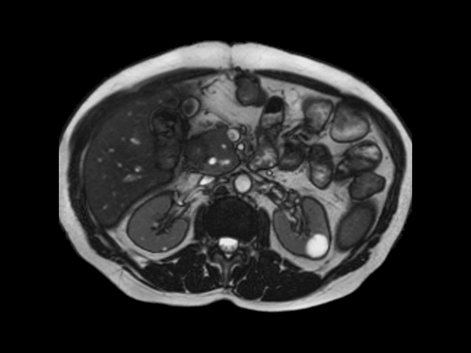
The combination of Body Matrix and IsoCenter Matrix is an ideal combination for an easy patient setup and state-of-the-art imaging performance.
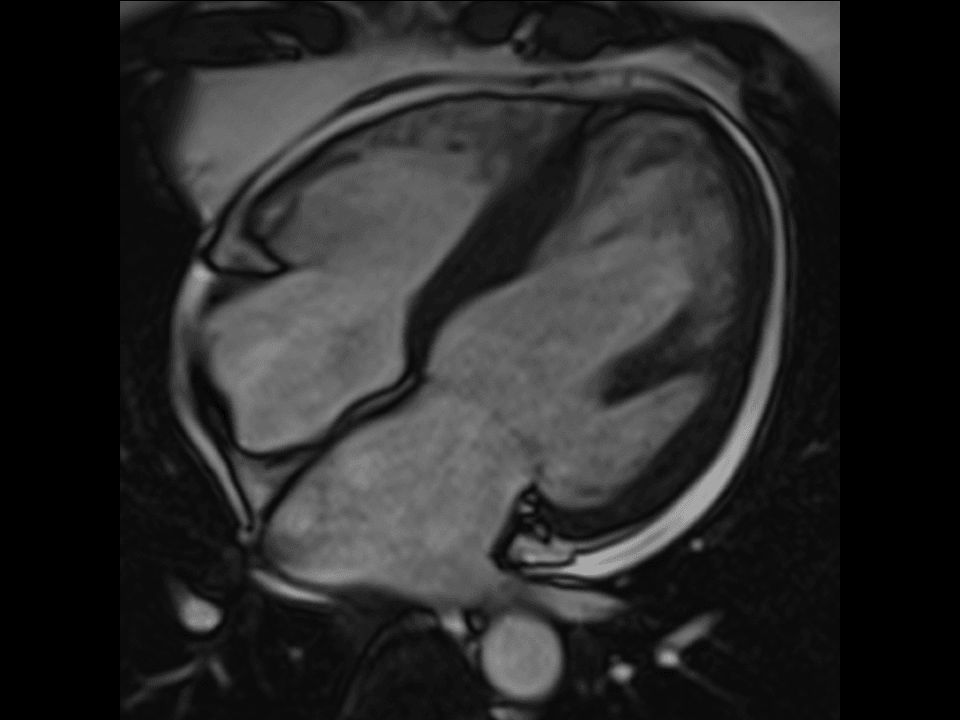
Experience excellent cardiac imaging capabilities and benefit from the high gradient power and Tim parallel imaging performance.
Easily depict vessel diseases with contrast and non-contrast enhanced techniques.
Streamline your workflow in clinical breast cases, including lobular cancer, breast implant assessment and therapy monitoring.
Achieve excellent contrast and resolution with agedependent protocols, using ultra-fast and motion correction techniques.