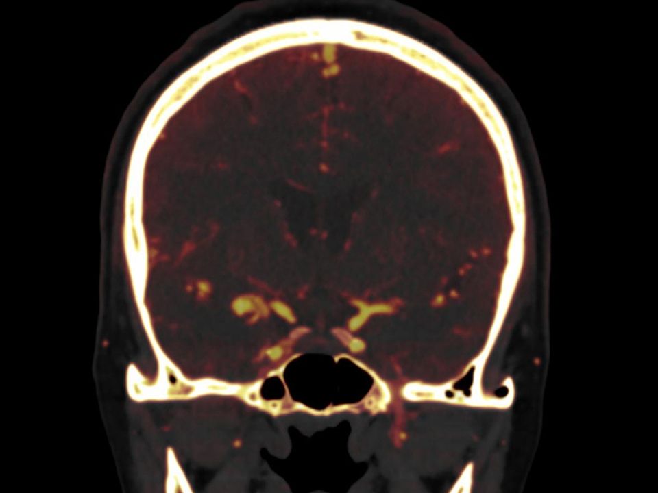
CT DE Brain Hemorrhage


Differentiate hemorrhage from iodine-uptaking bleedings and lesions.

CT DE Gout


Accurate and non-invasive diagnosis of gout.

CT DE Heart PBV


Reveal perfusion defects with only one scan.

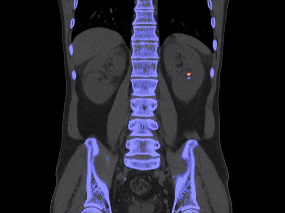
CT DE Calculi Characterization


Characterization of kidney stones.

CT DE Direct Angio


Accurate bone removal even in complex body regions.

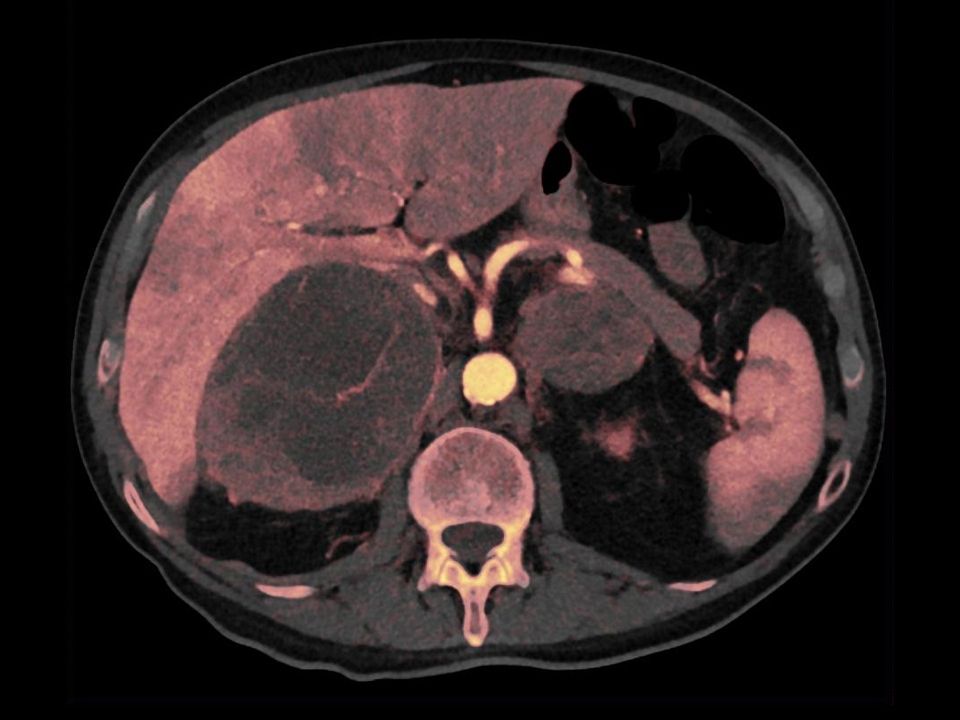
CT DE Virtual Unenhanced


Quantify lesions with two scans in one.

CT DE Lung Analysis


Assessment of perfusion defects and affected vessels at a glance.

Monoenergetic imaging


Customize your image impression – reducing metal artifacts.