MENU
Home
About Us
Services
Cardiac CT Features
Other Machines
back
MRI 1.5 Tesla
CT Scan
Dental
CBCT
OPG/Lat
Cases
back
Cases
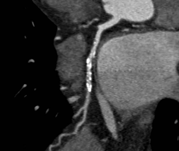
Case Study (70% LAD Block)
Case Study (70% LCX Block)
Case Study (Stent - LAD & LCX)
Case Study (Triple Vessel Block)
Gallery
Contact
FAQ'S
About Us
Services
Cardiac CT Features
Other Machines
MRI 1.5 Tesla
Open MRI
CT Scan
Dental
CBCT
OPG/Lat
Cases
Cases
Case Study (70% LAD Block)
Case Study (70% LCX Block)
Case Study (Stent - LAD & LCX)
Case Study (Triple Vessel Block)
Gallery
Contact
FAQ'S
CARDIAC CT
Explained
Home
Cases
Cardiac CT
CARDIAC CT. Explained.